The location of intestinal obstruction is determined through a series of medical examinations. This helps doctors understand the specific location of the blockage in the intestine so that they can take targeted treatment measures.

Determining the location of intestinal obstruction is crucial because it directly impacts treatment options and prognostic assessment. Identifying the obstruction's location helps doctors quickly pinpoint the cause, such as a tumor, inflammation, or hernia, and develop a surgical or non-surgical treatment plan accordingly, thereby improving treatment outcomes and the patient's quality of life.

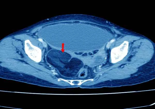
Determining the location of intestinal obstruction is typically done through clinical symptoms, physical examination, and imaging studies. Doctors will assess the patient's symptoms, such as abdominal pain, vomiting, and bloating, combined with physical examination findings like abdominal tenderness and changes in bowel sounds. Imaging techniques such as X-rays, CT scans, or ultrasound will be used to observe the distribution and morphological changes of intestinal gas to pinpoint the exact location of the obstruction. Each of these methods has its advantages and disadvantages, and doctors will choose the most appropriate method based on the specific circumstances.

When interpreting test results regarding the location of intestinal obstruction, it's crucial to recognize that these results only provide general information about the obstruction's location and cannot completely replace clinical judgment. After undergoing examinations, patients should communicate thoroughly with their doctors to understand the meaning of the results and their impact on the treatment plan. Simultaneously, patients should carefully observe changes in their symptoms, such as the nature of pain and the frequency of vomiting, as this information is equally important for doctors to adjust the treatment plan.
【Useful Tips:】
1. Carefully observe and record the nature, location, and duration of the abdominal pain, as well as whether there are symptoms such as vomiting or abdominal distension.
2. Before undergoing imaging examinations, such as X-rays or CT scans, you should inform your doctor if you have any metal implants or are pregnant.
3. After the test results are available, you should discuss them in detail with your doctor to understand the specific location of the obstruction and its impact on the treatment plan.
4. Follow your doctor's instructions for treatment, and at the same time, pay attention to changes in your symptoms and report them to your doctor in a timely manner.